
PuskesmasOesapa Kupang
Jalan Suratim RT 15 / RW 06
Kelurahan Oesapa
Kecamatan Kelapa Lima
Kota Kupang
Nusa Tenggara Timur
ADMINISTRASI
Senin 15 oktober 2018, pukul 08 : 00 WITA Petugas promkes dan kepala puskesmas oesapa mengadakan penyuluhan kepada pasien tenteng manfaat dan langkah - langkah cuci tangan dengan baik dan benar, Untuk mengingatkan betapa pentingnya melakukian cuci tangan menggunakan sabun, PBB menetapkan tanggal 15 Oktober sebagai hari Cuci Tangan Pakai Sabun (CTPS) sedunia
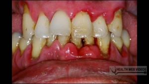
Kebersihan gigi dan mulut adalah hal penting yang perlu terus dijaga. Kesehatan gigi dan mulut tak hanya terkait dengan persoalan estetika semata, tetapi juga dapat menimbulkan problem kesehatan yang serius.
Timbulnya penyakit yang berkaitan dengan gigi seperti seperti karies (gigi berlubang) atau penyakit periodontal (infeksi gigi/plak gigi) misalnya, dapat berakibat fatal terhadap kesehatan tubuh.
Menurut Guru Besar Fakultas Kedokteran Gigi Universitas Sumatera Utara, Prof Sondang Pintauli, dua jenis gangguan pada gigi dan mulut ini dapat menimbulkan penyakit sistemik.
"Apabila tidak cepat ditanggulangi dapat menyebabkan mikroba dalam plak gigi, menyebar dan menimbulkan penyakit sistemik seperti gangguan pada jantung, saluran pernapasan, diabetes bahkan menyebabkan kelahiran prematur,"
Karies atau gigi berlubang merupakan penyakit pada jaringan keras gigi yaitu email, dentin dan sementum yang memfermentasi karbohidrat pada gigi.
Proses karies ditandai dengan terjadinya demineralisasi pada jaringan keras gigi, diikuti dengan kerusakan bahan organiknya yang menyebabkan terjadinya invasi bakteri dan kerusakan pada jaringan pulpa serta penyebaran infeksi ke jaringan periapikal dan menimbulkan rasa nyeri.
Sedangkan penyakit periodental merupakan penyakit infeksi yang disebabkan bakteri yang terakumulasi dalam plak, yang menyebabkan gingiva mengalami peradangan, sehingga sering juga disebut penyakit plak. Ia mengatakan, sama seperti organ tubuh lainnya, rongga mulut merupakan tempat berkumpulnya bakteri aerob maupun anaerob. Bakteri rongga mulut dapat menyebar melalui aliran darah yang disebut bakteremia.
Dari penelitian dilaporkan bahwa bakteremia terjadi pada 100 persen pasien setelah pencabutan gigi, 70 persen setelah pembersihan karang gigi, 55 persen setelah pembedahan gigi molar tiga, dan 20 persen setelah perawatan saluran akar gigi.
Pada kondisi kesehatan mulut yang normal, hanya sejumlah bakteri yang masuk kedalam aliran darah dan tidak membahayakan. Namun pada individu yang mempunyai oral higiene buruk, maka jumlah bakteri pada permukaan giginya meningkat 2-10 kali, sehingga peluang terjadinya bakteremia menjadi lebih besar.
Teori fokal infeksi menyebutkan bahwa infeksi di rongga mulut bertanggung jawab terhadap terjadinya dan berkembangnya tiga penyakit sistemik yakni kardiovaskuler, diabetes melitus dan aterosklerosis.
"Namun dari ketiganya yang paling berpengaruh adalah penyakit kardiovaskuler, karena bakteri gigi dapat langsung masuk ke dalam tubuh melalui aliran darah. Hal ini menunjukkan bahwa gigi dan rongga mulut dapat berfungsi sebagai jalur masuk bagi mikroba penyebab penyakit kebagian tubuh lainnya," katanya.
Sondang menambahkan, meski di beberapa negara berkembang dilaporkan sudah terjadi perbaikan atau peningkatan kesehatan gigi dan mulut, namun kesehatan gigi dan mulut tetap merupakan tantangan masalah kesehatan yang perlu ditanggulangi.
Dalam hal ini, diperlukan peran aktif masyarakat untuk berperilaku hidup sehat yang dimulai dari diri sendiri. Tidak cukup hanya dengan kebiasaan pelihara diri saja, tetapi juga harus berusaha menghindari beberapa faktor risiko penyakit gigi dan mulut seperti merokok, alkohol dan stres. Selain itu, membiasakan diet dengan gizi seimbang, mengurangi asupan gula dan dan mengunjungi dokter gigi secara teratur minimal dua kali setahun.
"Dapat disimpulkan bahwa kesehatan gigi dan mulut yang dipelihara dengan baik dapat menghindarkan seseorang dari risiko menderita penyakit gigi dan mulut serta penyakit sistemik.
Sumber : KOMPAS.COM
Rabu 01 Agustus 2018 imunisasi campak dan measles rubella di laksanakan secara masal.
puskesmas oesapa pada hari pertama kampanye imunisasi campak dan measles rubella mengerahkan 16 tenaga kesehatan dari puskesmas dan pustu yaitu 3 dokter, 8 bidan, dan 5 perawat untuk melakukan imunisasi campak dan MR di PAUD Diaspora, SD Danau Ina dan SD I Oesapa.

Vaksin MR aman diberikan kepada anak. Vaksin MR adalah vaksin hidup yang dilemahkan berupa serbuk kering dengan pelarut. Kemasan vaksin adalah 10 dosis per vial. Vaksin MR diberikan secara subkutan dengan dosis 0,5 ml. Demam ringan, ruam merah, bengkak ringan dan nyeri di tempat bekas suntikan setelah imunisasi adalah reaksi normal yang akan menghilang dalam 2-3 hari. Kejadian pasca imunisasi yang serius sangat jarang terjadi. Vaksin yang digunakan telah mendapat rekomendasi dari Badan Kesehatan Dunia (WHO) dan izin edar dari Badan POM. Vaksin MR 95% efektif untuk mencegah penyakit campak dan Rubella. Vaksin ini aman dan telah digunakan di lebih dari 141 negara dunia. Imunisasi MR merupakan upaya pencegahan yang harus dilakukan secara rutin dan terus-menerus. Setiap anak memiliki hak untuk mendaptkan imunisasi yang lengkap. Imunisasi merupakan investasi yang sangat berharga bagi masa depan anak. Apabila orangtua memberikan imunisasi bagi anaknya, maka tidak hanya anak tersebut namun orang lain di dalam lingkungannya juga akan turut merasakan manfaatnya. Banyaknya informasi yang salah mengenai imunisasi dan disebarkan oleh pihak-pihak yang tidak bertangung jawab dapat menghalangi upaya pemenuhan hak anak atas kekebalan diri dari penyakit berbahaya melalui imunisasi.
Harapan kami dari Puskesmas oesapa agar anak bisa mendapatkan haknya untuk meiliki kekebalan tubuh melalui imunisasi. Peran media pun sangat dibutuhkan untuk menyebarkan informasi yang benar terkait imunisasi MR ini dengan tujuan memberikan pemahaman kepada masyarakat.
Puskesmas Oesapa melakukan sosialisasi persiapan kampanye imunisasi campak dan measles rubella, yang melibatkan tenaga kesehatan dari pustu, perawat ,bidan dan dokter di puskesmas oesapa.
kegiatan ini akan berlansung pada bulan Agustus 2018, dan akan dilaksanakan pemberian Imunisasi MR di instansi pendidikan (PAUD, TK, SD, SMP dan SMA), sedangkan pada Bulan September 2018 akan dilaksanakan pemberian Imunisasi MR di posyandu-posyandu yng meliputi wilayah kerja Puskesmas Oesapa.

Sebagai pemegang program imunisasi, Maria junita Yato bersama kepala puskesmas oesapa dr. Trio Hardhina telah mentukan beberapa PAUD, TK, SD dan SMA yang akan dilakukan kegiatan imunisasi tersebut.
Dalam sosialisasi ini juga telah di bagi beberapa tim diantaranya 3 orang dalam satu tim untuk melakukan pendataan dan penyuntikan.

Besar harapan kami untuk orangtua dan keluarga supaya turut berperan penting bagi anak untuk mendapatkan haknya agar memiliki kekebalan tubuh melalui imunisasi Campak dan Rubella ini.
Kegiatan Bakti Sosial atau lebih dikenal dengan baksos ini merupakan suatu kegiatan kepedulian terhadap kesehatan masyarakat yg ada di dalam wilayah kerja kami Puskesmas Oesapa, kegiatan ini merupakan tujuan untuk mempererat hubungan antara masyarakat serta memberikan motivasi tentang pentingnya kesehat, dalam upayah memberikan pelayanan kesehatan dengan cuma - cuma atau gratis.
Tujuan Pengambilan Sampel Sampling Air
Untuk mendapatkan sampel, meliputi:
Air sungai, air bersih (air minum), air danau /waduk, air tanah dan air limbah yang akan dianalisis di Laboratorium, sehingga sampel air tersebut dapat diketahui kualitasnya.
Ruang Lingkup
Metode pengambilan sampel ini meliputi persyaratan dan tata cara pengambilan sampel kualitas air untuk keperluan pengujian kualitas air dsecara biologi.
Metode ini berlaku untuk pengambilan sampel uji kualitas air sungai, air bersih (air minum), air danau /waduk, air tanah dan air limbah.
Perhatian Awal
Hal-hal yang menjadi perhatian awal sebelum sampling adalah:
Peralatan pengambilan sampel,
Wadah sampel dan kontainer,
Penentuan lokasi dan/atau titik pengambilan sampel, Parameter yang akan diuji
Teknik atau cara pengambilan sampel,(komposit dan/atau grabe)
QA/QC pengambilan sampel
Prinsip
Pengambilan sampel merupakan hal yang penting dalam uji kualitas air dan harus mewakili keadaan air di lokasi pengambilan sampel, karena akan berpengaruhi hasil analisis di Laboratorium.
Keberhasilan metoda pengambilan sampel sangat tergantung pada peralatan untuk pengambilan sampel, teknik atau cara pengambilan, pelaksanaan dan penanganan serta penyempurnaan analisis Laboratorium.
Mekanisme Pengujian Sampel Air
SAMPLING.
TRANSPORTASI
PENGUJIAN LABORATORIUM
PELAPORAN HASIL
Protokol Sampling
Instruksi Kerja.
Formulir Sampling (Dokumen Pendukung):
Surat penugasan.
Formulir Permohonan Pengujian Sampel (FPPS).
Formulir Data pengujian/pengukuran lapangan.
Formulir Berita Acara (bila diperlukan).
Lokasi dan titik sampling (GPS).
Peralatan terkalibrasi/bebas kontaminan Kontainer/wadah.
Kamera (bila diperlukan).
Quality Assurance (Jaminan Mutu) Sampling
Dilaksanakan oleh personel yang kompeten.
Menggunakan peralatan bebas kontaminan.
Menggunakan metode sampling standar.
Menggunakan wadah dan kontainer yang benar.
Merekam data dengan baik dan benar.
Mengggunakan GPS dan/atau denah lokasi.
Dianalisis sebelum batas waktu penyimpanan maksimum.
Persiapan Sampling
Instruksi Kerja.
Formulir data lapangan.
Formulir berita acara sampling (bila diperlukan).
Surat Permohonan Pengujian Sampel.
Surat penugasan, dokumen kontrak (bila perlu).
GPS, kamera (bila perlu).
Alat sempling.
Wadah sampel.
Kontainer.
Pakaian pengaman: sepatu, kaca mata, kaos tangan, masker, alkohol 70%, korek api, lampu spiritus, kapas.
Alat tulis, akuades dan pembersih
Sumber : Acara Sertifikasi Asosiasi Depot Air Minum (ASDAM) Dinkes Kota Yogyakarta 1-2 Juli 2013
Vaksin MR (vaksin campak dan rubella) diberikan untuk mencegah terjadinya penyakit yang disebabkan oleh virus campak dan rubella. Seperti diketahui, campak dan rubella merupakan penyakit infeksi menular yang disebabkan oleh virus. Penularan kedua penyakit ini biasanya melalui saluran napas, terutama dari kontak langsung dengan penderita yang terinfeksi melalui batuk atau bersin.